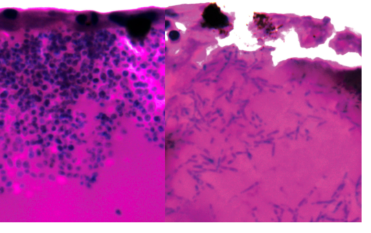
Tackling deadly fungal threats: Global training empowers clinicians and lab technicians
Twenty-four clinicians and laboratory technicians have enrolled in a bespoke training programme designed to strengthen the diagnosis and treatment of deadly fungal...
